Authentication Modal

患者さんの負担とニーズを考慮した持続可能なnAMD治療を目指して - 検査室(OCT)

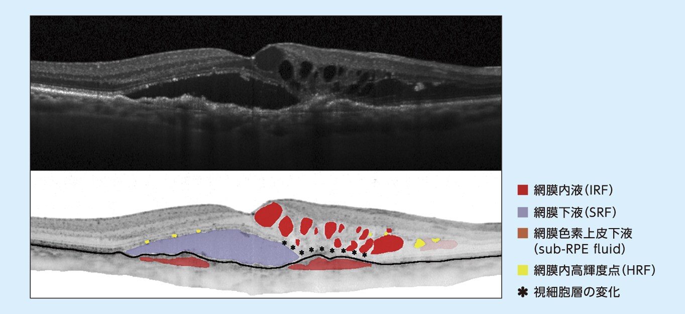
OCTによるFluidの観察は、網膜厚の測定とともに、臨床試験における疾患活動性の基準として使用されています

抗VEGF療法によるFluidの消失は、視力改善に影響することが示唆されています

Fluidの状況は、投与間隔の延長に影響する可能性があります

Ohji M, et al.: Adv Ther. 2020; 37: 1173-1187.
Ohji M, et al.: Graefes Arch Clin Exp Ophthalmol. 2021; 259: 3637-3647.
Mitchell P, et al.: Retina. 2021; 41: 1911-1920.

nAMDのOCT画像

nAMDのOCT画像

OCT(optical coherence tomography):光干渉断層計、IRF(intraretinal fluid)、SRF(subretinal fluid)、RPE(retinal pigment epithelium)、HRF(hyper-reflective foci)

Schmidt-Erfurth U, Waldstein SM: Prog Retin Eye Res. 2016; 50: 1-24.

施設での幾つかの場面における患者さんのニーズや負担に関連するデータをご紹介しています。