Authentication Modal

患者さんの負担とニーズを考慮した持続可能なDME治療を目指して - 検査室(OCT)

OCTによるFluidの観察は、網膜厚の測定とともに、臨床試験における疾患活動性の基準として使用されています

Fluidの状況は、治療における有効性の評価、再投与判定の指標として用いられ、結果として再投与間隔の延長に影響する可能性があります

Khoramnia R, et al.: Eye (Lond). 2024; 38: 54-60.
Do DV, et al.: Ophthalmology. 2011; 118: 1819-1826.
Tatsumi T, et al.: Sci Rep. 2022; 12: 10672.

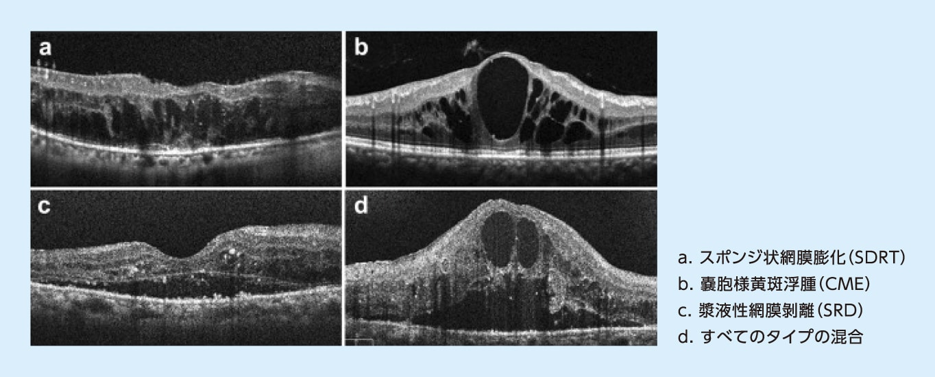
DMEのOCT画像

DMEのOCT画像

SDRT(sponge-like diffuse retinal thickening)、CME(cystoid macular edema)、SRD(serous retinal detachment)

Ichiyama Y, et al.: Graefes Arch Clin Exp Ophthalmol. 2016; 254: 1545-1551.

施設での幾つかの場面における患者さんのニーズや負担に関連するデータをご紹介しています。